定休日でした。
午前中は整形外科に受診。
車に乗り込むと。

寒いはず。
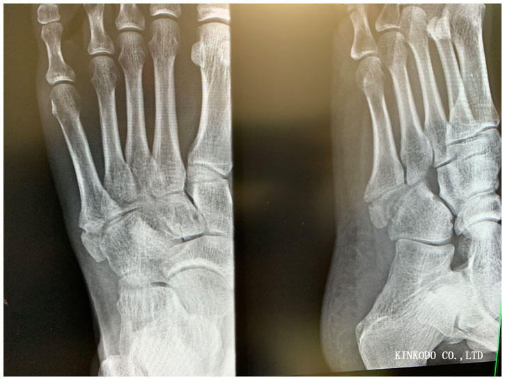
骨折の方はもう普通に生活してても痛みはないし、走っている時も痛みはない、走り終わっても痛みはない。もう完全に治ってるんじゃない?
と思ってレントゲン室に。

あっちょっと足の爪伸びてた。
診察室に入ると既にレントゲン写真が先生の机の横にあり。先生来る前にスマホで。

どう変わっているのか?変わっていないのか?

まだなのか?どうなのか?
先生の説明によるとまだ骨折線は見えている。完全にくっつくにはまだ日にちがかかる。
と言われてももう走っているので、正直に先日400メートル×15本インターバルやってますけどと伝えました。
先生の横で女性がパソコンに打ち込むのですが、インターバルがピンとこず。先生はダッシュと伝えてました。
1月30日だったよね!(大阪ハーフ)と言われて、それでは安心の為にもその前にもう一度レントゲン撮っておくか?と言われて再度受診することになりました。
まだ完治じゃないのか・・・まあ走るけど。
そしてお昼ごはん。
実は先日見ていたテレビ「帰れま10」ではま寿司さんのことをやっていまして。行ってきました。

実は回転寿司に行くのは数年ぶり。金沢の回転寿司はちゃんと握ってくれる回転寿司も多いのでそういうお店にはランチで何度か行ったことがあります。
ただこのようなチェーン店の回転寿司に行くのは本当に久しぶりというか10年ぶりくらい?10年くらい前に別のチェーン店に行ったのですが、本当に美味しくなく、ウニを食べたら気持ち悪くなるくらい。
さて、それがどれくらい進化しているか?

寿司だけどこれを食べたくって。カキフライ。2つが一皿にのって150円(税別)これを二皿食べたらそれだけで結構お腹ふくれます。

これはランキング3位の「あおざみそ汁」スマホアプリのクーポン使えば無料。
10品のうちの6品食べてその他諸々食べても1000円しなかった。お腹いっぱい。
本当の寿司屋さん、そして回転寿司でもちゃんと握ってくれる寿司屋さん、そして乗っけるだけの寿司屋さん、全部違うので比べようないけど。
ちょっと馬鹿にしてたけど10年近く経ったらレベルも段違いでびっくりでした。普通に食べられます。価格を上回る価値でした。
その後はいつものパン屋さん。

お腹いっぱいで行くと買いたいと思うこともなく、食パン買って帰りました。
その後こちらの検査に近所のクリニックへ。

ずっとほったらかしでした。案内をもらった時はコロナ感染も広がっていたので、なかなか検査でもクリニックに行きたくなくって。
採血だけなのですが、私の場合はいつも採血しにくい血管らしくって、「大丈夫ですよ」とにっこり笑う看護師さんでも、左手を出すと「右手も見せてもらえますか?」と言われるくらい。
今回最初に右手を見せて針を挿入。いつもは刺す所は見ないのですが、今日はたまたま見てしまい。見なければ良かった。一旦挿した後に少し血液採取できたのですが、その後なかなか血が出てこず。
看護師さんは針を腕の中で動かすわけです。その度に痛いと思うのですが、結局採血できず。私の方から腕変えますか?と伝えました。
看護師さん傷つけないように、いや私の血管難しいみたいですと伝えました。そうすると看護師さんは「上級者向けの血管ですね」と。
それで右手から左手に変えて無事採血完了。そんな一日でした。
↓ブログランキングクリック宜しくお願い致します。

↑ブログランキングのバナーのクリックをお願いします。
Facebookのいいね!
何年かぶりにチェーン店の乗せるだけの寿司屋に行ってきた。
その他・雑記

コメント