今日はチーム金港堂の42キロランの練習会。先日月刊「金澤」に紹介された私が空想した金沢市ティーフルマラソンのコースを走ろうということでチームのメンバー5名で大桑の駐車場に朝7時集合。
私5分ほど遅刻しましたが、直ぐにラン開始。11キロ地点まで順調に走っていたのですが、約12キロあたりで、会話をしながらちょっと横を向いた瞬間に道路と道路の継ぎ目のちょっとした段差に足をひっかけ思いっきり肩から転倒。
以前にも同じように転倒をし(ランニング中ではありませんが)鎖骨を折った経験があるので、同じような感覚であった為にこれは折れたかな?と思いつつもチームのメンバーにも申し訳ないので途中まで一緒に走って途中で離脱。河川敷を永遠に左手だけ胸に固定しながら走り続けて、ようやくスタート地点の大桑の駐車場へ。
その後車で自宅に戻りシャワーを浴びてから、ジムで一緒に走っている三平クリニックの先生の所へ。この先生なら走るな!とは言わないはず。例え走れなくても、どうトレーニングをしたらいいかは教えてくれる。と思い、急いで向かいました。
先ずは看護師さんの問診。状況を話す度に看護師さんの表情が曇るといいますか、私よりも痛そうな顔をします。
それではレントゲン撮りますね。ということでレントゲン技師の先生に導かれてレントゲン室に。2枚撮ったあとやはりマズいかも・・・という言葉があり、以前にも同じ所骨折しているのですよ。と話すと、その時の影が写っているかも知れないのでもう一枚撮りましょう。ということで再度別の角度から。
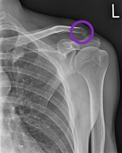
その後私の番となり、先生のところへ。「う~ん折れてるね。」
と言うことで見せてくれた写真がこれ。

そしてこれ。

受診後。先生にブログやFBに掲載したいからiPhoneで写真撮っていいですか?と言うとどこが分かりやすいかな?と言って角度を変えてそして、それならCDにデータにした方がよいだろ。と言ってわざわざCDにして頂きました。最近のテクノロジーは(笑)
その後は先生と次に出るレースの話。次は7月22日の小松空港までないので、暫くは大丈夫。珠洲のウルトラどうするのですか?大阪は神戸は。と話がはずみ。奈良はもう既に申し込まれたとか。2週明けてのフル?そのたびに看護師さんが先生そんなこと聞いてないですよ。と。
うちの店と同じ感じ。
1週間くらいは仕事にも支障が出るかも知れませんが、なんとかパソコンも打てるようなので、返事は遅くなるかも知れませんが。治療費確保の為にも是非ご注文をお待ちいたしております。
それでは。皆さんランニング中は下向いて走りましょう。
↓ブログランキングクリック宜しくお願い致します。

↑ブログランキングのバナーのクリックをお願いします。
コメント