今朝起きるとスマホが一年前の写真をお知らせしてくれてました。
これです。

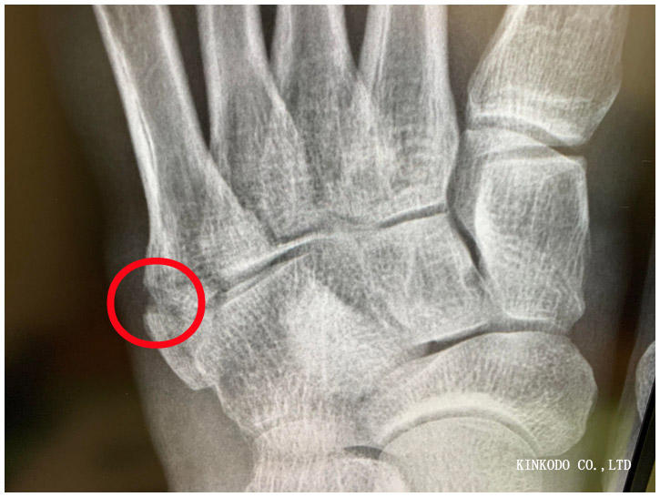
2021年10月13日に市営陸上競技場で足を捻って、左足の小指の付け根を下駄骨折しました。
骨折した時の動画がこちら。あれから1年。
あっという間でした。
13日に骨折して、そして昨年の金沢マラソンが10月31日の日曜日に開催。私は店の前からランナーが通っていく様子を動画で撮っていました。
辛かった。そこからひと月11月は月末にトレッドミルでウオーキングから始めて。と言ってもも11月に歩いた距離は3.46キロのみ。
そして12月になって少しずつ走り始め。89キロ。元旦駅伝に出たものの全然スピードが出ず。他のチームのランナーにも抜かれる始末。
それから1月は頑張って走ったものの最長距離は16キロの中で迎えた大阪ハーフマラソン。
あれだけ走ってなかったのに、ネット1時間26分50秒という自己ベストが出たわけです。
休養は必要(笑)走るだけが早道ではない。ということを証明。走れない間何をしてたかというと体幹トレーニングと、ジムのエアロバイクでタバタ式トレーニングをやってました。
骨折は不運でしたが、頑張っていれば良いこともあるようです。神様は見ていてくれている。というか、この頑張りを周りのランナーも見てくれていたのでしょう。
今年いっぱい。そして来年のびわこマラソンまで兎に角もがいてみます。
今日は朝から雨で商店街も静かな様子でした。ネットは別として商店街で商売をやっていますと前を通る人の数で商売も変わってきます。
今日はオーダーのお客様があって助かりました。

当店のオーダーシャツにはイニシャル以外にもこんなネームをお入れすることもできます。ちょっと可愛いのを入れてみませんか?
その他のネームに関してはこちらをご覧下さい。
↓ブログランキングクリック宜しくお願い致します。

↑ブログランキングのバナーのクリックをお願いします。
Facebookのいいね!

オーダーシャツ専門店金港堂の代表取締役の宮谷です。このブログを書いています。
アパレル業界に入って40年以上。ドラマの衣裳や、各界のお客様のオーダーシャツを手掛けております。
私のプロフィールや思いは
「オーダーシャツ専門店金港堂の社長紹介|店主 宮谷隆之の経歴・想い・趣味|金港堂」こちらから。
・ネット販売を始めて19年。
・様々なお客様の体型を正確に計測し、身体にフィットしたシャツを作ります。
・趣味はマラソン フルマラソン30回以上完走(年代別の優勝経験あり)
【受賞歴】
JECCICA ECデザイン大賞 最高賞のダイヤモンド賞受賞
(財)石川県産業創出支援機構のネットショップコンテスト審査員特別賞
ネットショップ運営の数々の講演経験有り
コメント