木曜日から蔓延防止措置で飲食店も時短営業となります。
感染に気をつけながら、というかいつもと同じメンバーで「ふたご」さんへ。

スマホ入れ。中に入れても操作ができます。

ある日と無い日があるのですが、昨日はありました。はみ出しカルビ。どうはみ出しかと言うと。

はい、見事にはみ出しております。
5回来店するとシルバー会員。シルバー会員になると乾杯のビールは中ジョッキから大ジョッキへ。そして。

最後に頂くヨーグルトが大きいのものになります。そして私は今回で10回目。
ゴールドトングが名入れで頂けるはず。また案内がくるそうです。
さて、翌日。
まだ行ってるんだ?と思われるかも知れませんが。

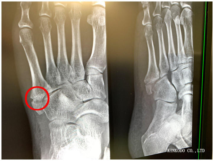
今日も骨折の受診。さてどうなっているか?

いい状態ですが、完全にくっついているわけではありません。気を付けて走るようにとのことで、大阪マラソン前にもう一度レントゲンを撮ることに。
そして届いてました。

抗原検査キット。今週末の大阪ハーフマラソンの当日に検査をして持ってくることになっています。
ここでふと疑問が。私前日に仕事が終わってから大阪に行くつもりなのですが。
翌日というかハーフマラソン当日の朝に検査をして、陽性になった場合はどうすればいいのでしょうか?
ホテルで自主隔離?食事は?ん?どうしよう・・・
↓ブログランキングクリック宜しくお願い致します。

↑ブログランキングのバナーのクリックをお願いします。
Facebookのいいね!
抗原検査キット到着
その他・雑記

コメント