届きました。
出走できないのが悲しい。

手取川の20キロ。
昨年はいい走りができてたのに。
前回はコースロストをしそのリベンジに燃えていたのに。
残念!
COROSというランニング用のGPS時計のアンバサダーをしているのですが、走れなくなったから申し訳ないと思って。以前からこの時計のバッテリーの持ちが半端ないことは分かっていて。
走らなければどれだけバッテリーがもつかやってみました。
先月の30日の1時頃に100%充電をし、それから24時間ずっと時計をつけてライフログとスマートウォッチ機能を使用し。
本日の1時頃でもまだ8%くらい持ってました。

12日ほど充電せずに動作してたことになります。かなり優秀。
運動していた場合は、運動時に稼働させますので、その運動量によっても違いますが、圧倒的なバッテリーの持ちがあることが分かったと思います。
さて、今日駅のCALDIで見つけました。
UNI BUTTER(うに バター)

こちらの商品のパッケージ。

表というか反対側と向きが違います。縦と横。恐らくはどんな商品棚にも対応できるように考えたのかと。
実はテレビで見てました美味しそうだったので買いました。
パンに塗ってもいい。パスタにしてもいい。ご飯の上にこれを乗せて醤油をかけると「ウニバターライス」となるそうです。
買った後に別の人が「ウニバターありますか?」って店員さんに聞いて購入されてたので、間違いない商品だと思いました。
どう食べたかは最後に。
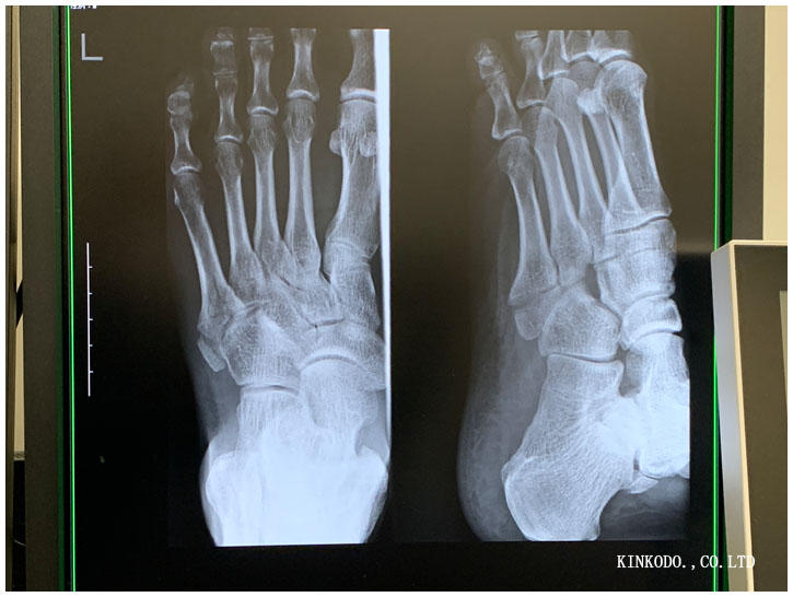
5時から骨折して四週間目の診察。今日は骨折した日、そして二週間後、そして4週間後のレントゲン撮影。

診察室に入って先生を待つ。

どうなっているか分からず。
拡大すると。

先生にどこがどう折れているのですか?と聞くと。

ここ。ん?パックリじゃないですか?
そう、でもパックリ割れているから骨と骨とが接するところが多いから。その方がいい。右の方、上の方の骨が見えてきたら少しずつ走ってもいいんだけどな。
と若干だけどモヤモヤ骨が見えているか見えていないか分からないようなレントゲンを見つめながら。
完治3ヶ月覚悟しました。
1月末の大阪ハーフがいきなりレースが練習になると思いますが、2時間で完走できるように頑張ります。
そしてウニバターに戻ります。

そもそもご飯の上にバターを乗せて食べたことがない。醤油をかけて食べました。確かにウニの香りはするけど、バターの方が強い。若干の違和感感じながらもご飯一膳食べました。
後から調べると韓国のりとかと一緒に食べた方がいいらしい。あ~~韓国のりあったのに。
明日は食パンに付けて食べてみます。
でもやはりこれが一番美味い。

拡大して撮ったら小さい香箱でも大きく見える(笑)
明日はしっかりと仕事します。
↓ブログランキングクリック宜しくお願い致します。

↑ブログランキングのバナーのクリックをお願いします。
コメント